吹气球能治鼻塞?当心肺受伤!医生提醒安全方法
案例
·案例1·
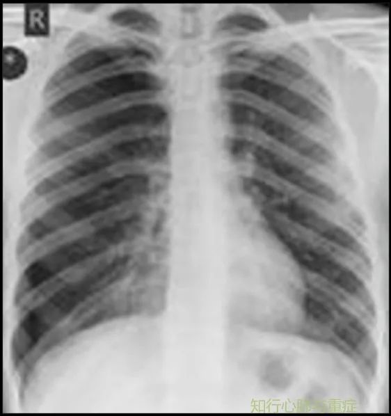
Dejene, S等在2013年报道了一名26岁的油漆工(有长期吸烟史)吹了26个生日气球后不久出现严重的右侧胸痛和呼吸困难的病例(影像显示右侧大面积气胸)。

·案例2·
Madray等在2021年报道了一例12岁女孩在生日派对上吹了多个气球导致Valsalva紫癜的病例。
· 案例3 ·
Georgiou和同事在1999年报道了一例男子长时间吹气球后出现了吹气球相关的Valsalva视网膜病变(单侧黄斑自发性出血的)的病例。

在临床上,“吹气球”训练(balloon-blowing exercise)常作为锻炼患者呼吸功能的一种手段,传统的观念认为吹气球训练能够一方面增强腹肌力量,使横膈膜恢复到适当的位置以发挥其呼吸和姿势的最佳能力;另一方面,对于术后患者吹气球可以减少术后并发症(痰液潴留、肺不张)的发生,改善机体通气和换气功能,减少肺内残腔,促进肺复张,从而利于胸腔积液的引流和排出。本文笔者结合循证证据就吹气球训练训练患者呼吸功能的安全性与有效性进行探讨。

· 临床上改良的吹气球训练方法 ·
选用容量为 500~800ml 的气球,将气球与一次性塑料吸管(较粗、较硬,不易咬扁)一端连接,用线绑紧,患者咬住吸管另一端即可进行吹气球锻炼 。气球不用吹很大,当直径达10~15cm即可,然后将气放掉,重复上述动作,每分钟吹气球 5~8 次。患者掌握要领后可调整吸吹时间,吸气1~2s ,吹气3~4s ,每组练习20~30次,不感到劳累为宜,每天练习4~5 组。
· 吹气球训练的生理机制 ·
吹气球可直接升高肺不张处支气管内的压力,因为肺不张处支气管内的压力因气体吸收后较周围支气管压力低,吹气球使肺内压增高,肺内空气向低压的支气管挤压,促使不张的肺得以复张,减少肺部感染发生 ;在吹气球的过程中,随着气球体积的增加,腹肌收缩需要抵抗更大的阻力,腹肌力量的增强可优化膈肌的初始位置,提高呼吸功能与核心稳定性。
· 与其他呼吸训练相比吹气球训练的优势 ·
①方法简单易学,患者容易掌握操作;
②属无创性操作,安全性能好,患者容易接受;
③无侵袭性操作,相对于鼻导管吸痰、纤维支气管镜吸痰能减少院内感染机会;
④气道压力由患者量力控制,气球吹胀后表示一次成功的呼吸训练,有利于增强患者配合治疗的信心。
⑤经济节约,减轻患者负担. 吹气球呼吸训练法是一种简单、经济、快捷、有效的提高呼吸功能的方法。
在临床上的应用
· 1 心脏手术患者·
在接受心脏手术治疗的过程中,患者由于胸膜腔内负压消失、肺组织萎缩塌陷及损伤、气管插管吸入麻醉使气管纤毛运动减弱、麻醉药物引起呼吸道分泌物增多、胸腔闭式引流刺激,均会使肺部在术后产生大量分泌物,影响患者呼吸及肺复张,加上术后切口疼痛限制呼吸、咳嗽无力,不能有效排除呼吸道分泌物而出现呼吸系统并发症,会影响患者术后康复。孙党红等同样报道,105例心脏围术期患者进行吹气球呼吸功能训练后,患者呼吸频率较训练前显著降低, 血氧饱和度、动脉血氧分压、肺功能则较训练前均有不同程度提高。
· 2 肺叶切除术后患者·
肺叶切除后,肺容量明显减小,V/Q比例失调,机体易发生缺氧;手术过程对正常组织有不同程度的损伤,导致肺组织一过性水肿,炎性渗出,肺泡表面物质减少或被稀释,肺顺应性下降;小支气管内膜水肿、管腔变窄,肺间质水肿,肺通气、换气功能进一步下降。邓曙光等报道了60例肺叶切除患者进行呼吸训练(缩唇呼吸、吹气球训练)后病人的呼吸功能、肺复张、生活质量等方面有的改善。
· 3 吸烟患者·
Kim, J., & Lee, Y报道了30例青年吸烟人群的BBE,这项RCT表明吹气球训对肺功能有积极影响(VC、ERV、IRV、FVC、FEV1、FEV1/FVC和PEF显著增加);Jun, H.和同事对30名65岁吸烟者进行了反馈式呼吸训练(FBE)与吹气球训练(BBE)的研究,结果表明BBE增加了老年吸烟者的肺功能(在BBE组,FVC,FEV1 / FVC,PEF腹肌肌力在训练在四周后显着增加)。不足的是这两个研究中样本量太少。

· 4 健康人群 ·
结合Boyle等人的利用吹气球训练提高核心稳定的方法(通过桥式体位结合吹气球训练将椎体和脊柱恢复到适当的位置,以使横膈膜能够发挥其呼吸和姿势的最佳能力),Seo,K&Cho,M 提出了利用髋关节和膝关节屈曲的桥式体位进行气球吹气运动(the 90/90 bridge with ball and balloon),结果表明此体位下的吹气球训练提高了肺功能(FVC、VC、PEF)以及核心稳定性。

· 思考与讨论 ·
正如文章开头所报道的病例,吹气球训练有一定的风险,笔者个人观点是这几个患者吹气球训练时出现了Valsalva动作,相关研究表明声门关闭时腹肌收缩均会导致胸内压升高和相应的心血管反应,在日常生活中,举重、咳嗽、呕吐、小便时用力、排便时用力或分娩时用力时,以及在其他涉及用力或吹阻力的活动中(例如吹气球或吹奏管乐器)也会无意的出现Valsalva动作的生理反应。
Valsalva动作(VM)是一种气道闭合时的用力呼气动作,常用于诊断心脏问题或自主神经系统缺陷。与动作相关的胸内压和腹内压的变化导致复杂的心血管反应,伴随着多种调节机制的作用。反射机制的主要目的是控制动脉血压(BP),虽然它们的作用主要基于压力感受器的信号,但也影响肺牵张感受器的活动,从而影响肺泡压力的改变。
因此,对于以下几类患者,不建议进行吹气球训练:
①对于原有慢性肺气肿、肺大泡的患者,进行气道内等压点上移至无软骨支撑的膜性气道,用力呼气会导致小气道受压闭合,从而加重病情或形成自发性气胸;
②一侧全肺切除或心肺功能较差者,吹气球训练时可能导致纵隔摆动或心肺功能紊乱;
③对胸腔闭式引流患者,吹气球有利于气体自胸腔排出,缩短治疗时间。但已夹管后吹气球可能影响破裂口愈合;
④对于脑动脉畸形患者,吹气球训练可能引发Valsalva动作,导致血压异常升高从而引发动脉破裂出血。
· 总结 ·
综上,笔者认为吹气球训练是一个简单易行,趣味性强的呼吸功能训练方式,但在其安全性方面,要充分的考虑到吹气球训练时肺泡压的变化与Valsalva动作的生理影响。